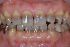
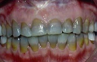
A ingestão de tetraciclina durante a formação dentária pode levar ao escurecimento dental.
Isso acontece devido a afinidade que este antibiótico tem ao cálcio dos dentes e ossos durante sua mineralização.
O grau de escurecimento varia conforme a dose e o tempo de ingestão do medicamento.
Se for ingerido do quarto mês de gestação até o quinto mês de vida, ira afetar (escurecer) os dentes decíduos ("de leite"). Já a ingestão dos quarto mês de vida até os 7 anos de idade, poderá escurecer os dentes permanentes.
O escurecimento é classificado conforme as características e severidade da pigmentação:
Grau I: amarelado claro, castanho ou cinza claro, uniformemente distribuído na coroa dental
Grau II: amarelo ou cinza em vários tons
Grau III: cinza escuro, com formação de faixas, principalmente na região mais próxima à gengiva
Grau IV: 5 faixas escuras
O clareamento de dentes manchados por tetraciclina são um desafio para o cirurgião dentista, e exigem um planejamento específico, dependendo da severidade do caso.
Nos casos mais leves, pode-se utilizar o clareamento caseiro , com peróxido de cabamida a !0%, durante 6 meses, com supervisão do profissional e obter resultado satizfatório.
Quando existe uma faixa mais escura, próxima à gengiva, podemos utilizar a técnica em consultório, com peróxido de hidrogênio a 37,5% , somente sobre esta faixa, para obter mais homogeneidade de cor.
Os tons acinzentados são os mais difífeis de clarear.
Casos mais severos podem ter um resultado decepcionate em relação às técnicas de clareamento, sendo a melhor indicação para a solução do problema, um tratamento restaurador, como , por exemplo, a utilização de facetas de porcelana.
Consulte seu dentista, e saiba qual a melhor forma de tratamento para seu caso.
Autoestima e confiança melhoram as relações pessoais e profissionais!


