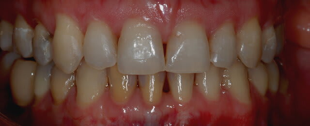
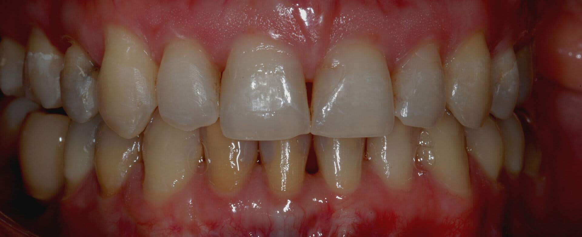
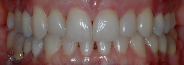
Hoje gostaria de te mostrar mais um antes e depois.
Você nota a grande diferença nos dentes e o melhor de tudo: foi um tratamento baseado nas linhas faciais do paciente que agregou muito valor a sua beleza.????????????
↕️↕️
Muitas vezes um clareamento dentário aliado a transformação da forma dos dentes com resinas compostas, já traz o UP necessário para um sorriso assim: iluminado. ????
Gostou de saber disso? Então, aproveite nossas facilidades e venha deixar sua boca em perfeito estado.

