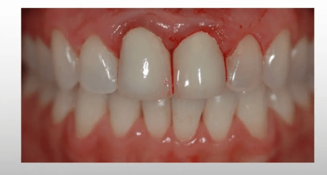
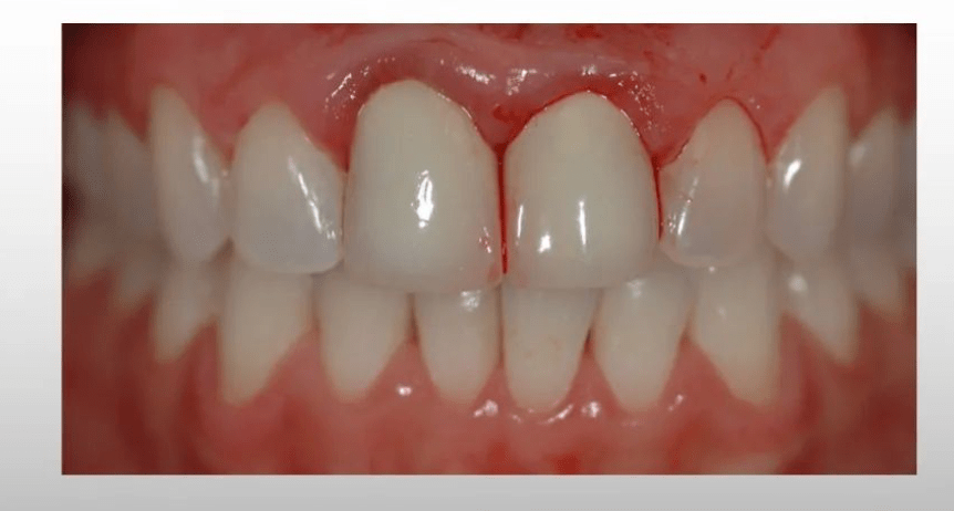
Hoje que falar com vocês sobre uma paciente que anos atrás quebrou os dois dentes incisivos,???? os superiores na parte frontal da boca.
✋????Ela acabou indo em outro dentista e colocaram 2 coroas protéticas com excesso de material, na união com a raiz.
Um absurdo! ????
Esse é um erro gravíssimo, porque altera a gengiva, causando gengivite e pode dar uma periodontite, que nada mais é que uma infecção bacteriana dos tecidos, ligamentos e ossos específicos que envolvem e sustentam seus dentes,
E NÃO parou por aí, os efeitos negativos desse tratamento.????
Pode surgir cárie nas raízes dos dentes, pois a higienização fica de dificil acesso.????
O que quero chamar a atenção é o CUIDADO de ir em qualquer local tratar seus dentes. Se você quebrou qualquer um deles, visite uma dentista de confiança e que tenha expertise em seu trabalho.????????????????
A sua boca DEVE ter prioridade SEMPRE.????????
#ficaadica
