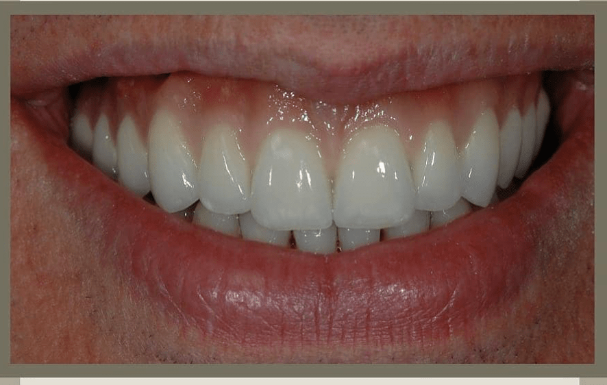
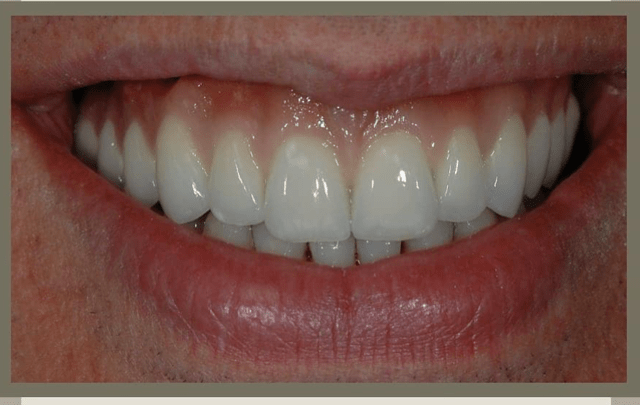
O que pode ser feito nos dentes hoje em dia, é fantástico. Através da implantodontia e prótese sobre-implante é possível mudar por completo seu sorriso de forma que fique muito natural.????????????????????????
Olhem esse case de sucesso.????????????????
Nesses dentes foram feitos implantes, que é usado pra substituir as raízes dos dentes naturais perdidos. Depois coloquei uma prótese, que proporcionou a recuperação da função mastigatória, dando beleza e harmonia ao sorriso. ????
Está prótese tipo protocolo substituiu a dentadura, e os dentes e gengiva foram feitos em porcelana !????
O RESULTADO é dentes perfeitos e naturais. Isso é muito importante!! Sorrir e mostrar naturalidade, sem aqueles dentes artificiais que parecem estranhos na boca tem um valor inestimável.
Sem falar na segurança que dá uma prótese fixa!
Que tal melhorar seu sorriso 100%? ????????????
