Olá!
Hoje decidi escrever sobre algo muito simples, e que nem sempre somos instruídos de como fazer corretamente: o uso do fio dental.
As escovas dentais não acesam a região inter-dental, não é mesmo? Por esse motivo, o fio dental é essencial para que removamos a placa bacteriana entre os dentes.
Também, devemos ter em mente, a limpeza do sulco gengival.
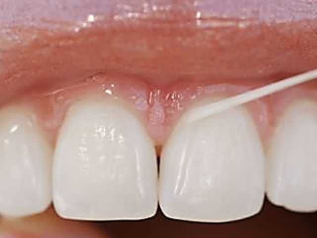
Mas o que é o sulco gengival? É o espaço localizado ao redor de todo o dente, recoberto por gengiva que não está fixada ao dente ou osso alveolar.
Em casos de saúde periodontal, o sulco costuma medir em torno de 3mm.
A placa bacteriana também se deposita nesta região. Por isso, é importante que o fio dental seja levado gengilmente em toda profundidade do sulco , ao redor de todo o dente.
Isto eviatrá a gengivite, periodontite e o desenvolvimento de cáries entre os dentes.
Se houver sangramento ao passar o fio, é porque você está com gengivite. Muitas pessoas evitam usar o fio e/ou escovar na região do sangramento, pois acham que vão machucar o local. Mas a verdade é que devem continuar higienizando, porque o
que irá resolver o problema é justamente a higiene criteriosa.
Se ao passar o fio, ele trancar ou sair desfiado, isto indicada a presença de cárie ou desadaptação da restauração, as quais devem ser tratadas.
Quando há espaços entre os dentes, indicamos o uso de escovas interndentais ou unitufo, para uma higiene mais efetiva.
O fio dental deve ser usado preferencialmente antes da escovação, após cada refeição.
Lembre, pequenos hábitos podem levar a grandes resultados!
Saíde bucal plena!!!




