Com tanta tecnologia no mercado para melhorar seu sorriso, fica difícil entender as vantagens de um tratamento em comparação a outro. ????
Então, bora saber das vantagens das lentes de porcelana?
✅Elas melhoram a forma dos dentes, através da correção dos defeitos,
✅alteram o formato dos dentes
✅Fecham os espaços entre os dentes
✅Melhoram a cor dos seus dentes
✅Não escurecem com o tempo
✅São mais resistentes que as de resina.
????????????????
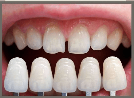
Aqui no consultório, fizemos uma simulação na boca para definir a melhor forma e tamanho que harmonizam melhor com as suas linhas faciais, onde poderá ser visualizado antes da finalização do tratamento.
Só para entender melhor: A produção as lentes e facetas acontece no laboratório protético, tudo sob a minha inspeção para serem cimentadas no dente da forma planejada e MELHOR adequada. ????????????????
O objetivo é um sorriso bonito e saudável, com uma enorme durabilidade de anos e anos a fio. ????????????????
Quer saber mais?
Nosso WhatsApp
(51)981924938
