Contato

Atendimento

SEGUNDA A SEXTA-FEIRA das 8:30 ÀS 18H


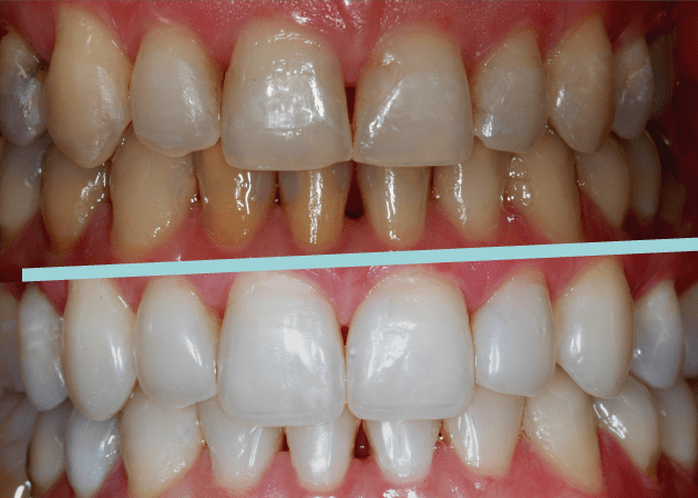
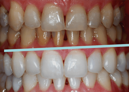
Clareamento Dental

Dentes amarelados são esteticamente desagradáveis e envelhecem a face, o que faz com que o clareamento dentário seja um dos tratamentos estéticos mais procurados.

O tratamento consiste em aplicações de um gel a base de peróxido de hidrogênio ou de carbamida. Este gel, pelo seu baixo peso molecular, atravessa o esmalte do dente, chegando na dentina e quebrando as moléculas de pigmentos em cadeias menores, diminuindo a intensidade da cor.

Existem dois métodos de clareamento dental.No método de consultório,são feitas uma sessão por semana. Algumas pessoas ficam satisfeitas com apenas uma sessão, outras decidem fazer mais.Isso depende da cor dos seus dentes e do resultado que deseja obter.

No outro método,conhecido como caseiro, serão feitos moldes de seus dentes e modelos de gesso, sobre os quais são confeccionadas moldeiras de silicone. Elas serão entregues para você juntamente com o gel clareador e instruções por escrito ( que eu vou te explicar). Você usará ao dormir. Retornará uma vez por semana para acompanhamento.

Sabe-se que dentes acinzentados costumam necessitar um período de tratamento mais longo, com resultados menos satisfatórios.

Dentes que foram manchados pelo uso de tetraciclina e derivados durante sua faze de formação, necessitam de uma avaliação e protocolo específicos.

Dentes que possuem canal tratado não respondem da mesma maneira que os dentes vitais ao clareamento externo. Para clarea-los, utiliza-se o acesso feito para o tratamento de canal, para a realização de um clareamento interno.

O clareamento dental é um tratamento puramente estético, o que determina a necessidade da sua realização é o fato de o paciente não estar sentindo-se à vontade com a cor dos seus dentes.

Quanto à sensibilidade durante o tratamento clareador, vale ressaltar que hoje existem vários recursos para evitar a sensibilidade, ou eliminá-la caso ocorra.

Cuidados

Muitos produtos que oferecem o clareamento possuem apenas ingredientes abrasivos que removem as manchas externas dos dentes, mas não mudam a cor dos mesmos. É preciso ter cuidado, pois o uso indiscriminado pode causar abrasão (desgaste) do esmalte dentário.

Outros possuem ingredientes clareadores, porém o uso sem orientação profissional pode levar a não obtenção do resultado desejado e, o mais importante, pode causar prejuízo ao esmalte dentário e tecidos moles da boca.

O clareamento dental não causa danos aos tecidos bucais, desde que sejam utilizados em uma formulação, concentração e tempo corretos e em pacientes que não possuam, por exemplo, problemas periodontais (da gengiva), cáries e infiltrações nas restaurações. Estes devem ser tratados antes da realização do tratamento.

Este tratamento está contraindicado em caso de gravidez e aleitamento materno.

conquiste o seu
sorriso. agende uma consulta.

Entraremos em contato para validar o agendamento.