Contato

Atendimento

SEGUNDA A SEXTA-FEIRA das 8:30 ÀS 18H


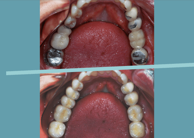
Coroas e próteses fixas em porcelana

As chamadas coroas dentárias são peças confeccionadas em porcelana a partir de um molde personalizado feito pelo dentista. Elas são necessárias quando o dente apresenta uma grande destruição da sua coroa e as restaurações em resina já não são capazes de conferir resistência suficiente para que ele exerça suas funções.

Hoje em dia, existem diversos tipos de porcelanas como as de zircônia, dissilicato de lítio ou alumina, feldspática... A definição do tipo de material precisa levar em conta o caso específico e os resultados desejados.

A cor da prótese é definida pelo dentista, buscando uma harmonia com as cores dos demais dentes. Elas podem ser próteses unitárias, quando substituem um dente, ou prótese parcial fixa, quando substituem dois ou mais dentes.

conquiste o seu
sorriso. agende uma consulta.

Entraremos em contato para validar o agendamento.