Contato

Atendimento

SEGUNDA A SEXTA-FEIRA das 8:30 ÀS 18H


Facetas e Lentes de Contato Dentais

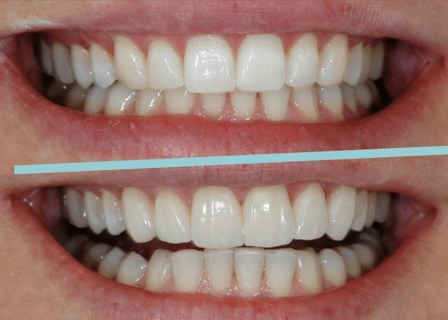
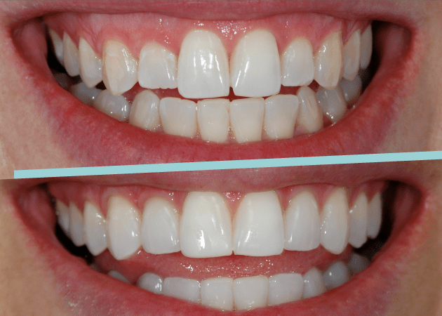
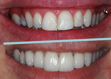
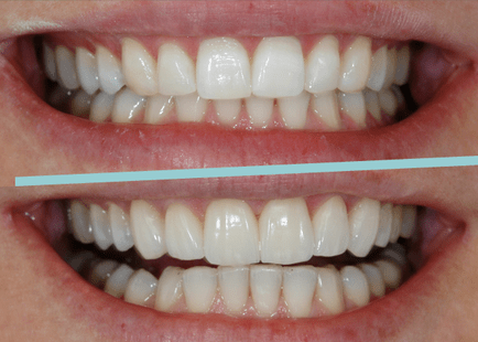
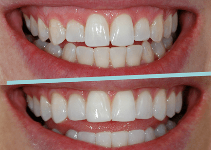
As facetas e lentes de contato são lâminas de porcelana cimentadas sobre os dentes, com função de melhorar a sua forma através da correção de defeitos, alteração da forma do dente, fechamento de espaços entre os dentes, como os diastemas. É comum enxergarmos o procedimento em pessoas que dependem do sorriso em suas profissões, como em atores, modelos e apresentadores.

A diferença entre as lentes de contato e as facetas de porcelana é a espessura. As lentes de contato, também chamadas de lâminas ultra finas, possuem apenas 0,2mm de espessura, evitando ou diminuindo o desgaste do dente. Já para as facetas de porcelana, é necessário fazer um desgaste de 0,5 a 0,8mm no esmalte do dente.

Em nossa clínica realizamos uma simulação em boca para determinar a forma e o tamanho que mais harmoniza com as linhas faciais do paciente, o qual pode visualizar o resultado final durante a consulta. A confecção das lentes e facetas acontece no laboratório protético, após a produção do molde dos dentes. Quando prontas, retornam ao consultório para serem cimentadas nos dentes do paciente.

Observação: nem todos os casos podem ser resolvidos com lâminas ultrafinas. O procedimento não é indicado para dentes escurecidos, por exemplo, porque com a pouca espessura das lâminas, elas não possuem capacidade para mascarar essa coloração escura da parte de trás, e também em casos de dentes com várias restaurações.
Para esses casos, o preconizado são as facetas em porcelana.
Na consulta de avaliação o profissional tem condições de orientar sobre a melhor escolha para resultados eficazes e longevos em cada caso.

 

conquiste o seu
sorriso. agende uma consulta.

Entraremos em contato para validar o agendamento.