Contato

Atendimento

SEGUNDA A SEXTA-FEIRA das 8:30 ÀS 18H


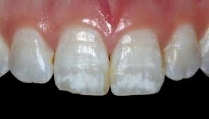
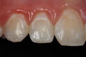
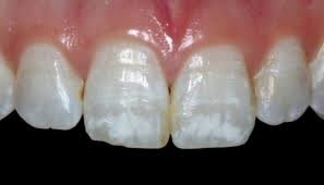
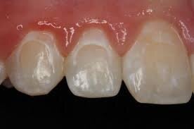
infiltração Resinosa

A Infiltração Resinosa foi desenvolvida na Alemanha.

Esta técnica visa eliminar manchas brancas no esmalte dentário, sem anetesia, sem dor e o principal, sem desgaste na estrutura do esmalte, que há pouco tempo atrás era a única maneira.

Essas manchas tem origem durante o desnvolvimento dentário, como a fluorose, a hipoplasia de esmalte e também por desmineralização.

 A desmineralização do esmalte dos dentes é a perda gradual de minerais, como cálcio e fósforo, que enfraquece a camada mais externa dos dentes. Ocorre quando o pH bucal cai para 5,7, devido à produção de ácidos pelas bactérias que se alimentam de açúcares. Essa desmineralização pode causar manchas brancas, e são muito comuns após a remoção de brackets ortodônticos.

A hipoplasia de esmalte é uma condição dentária que ocorre quando o esmalte dos dentes não se desenvolve corretamente, resultando em uma camada mais fina e propensa a danos.

A fluorose dentária é uma alteração do esmalte dos dentes que ocorre quando há um excesso de flúor no organismo durante a formação dos dentes. Afeta tanto os dentes de leite como os permanentes e pode manifestar-se como manchas brancas ou opacas, ou defeitos anatómicos.

É uma excelente e conservadora alternativa para o tratamento de manchas brancas de pouca profundidade.

conquiste o seu
sorriso. agende uma consulta.

Entraremos em contato para validar o agendamento.