Contato

Atendimento

SEGUNDA A SEXTA-FEIRA das 8:30 ÀS 18H


Próteses Sobre Implantes

Tempos atrás, quando as pessoas perdiam todos os dentes de uma ou as duas arcadas (superior e/ou inferior) a única possibilidade de tratamento eram as próteses totais (dentaduras) as quais se fixam sobre a gengiva. Porém , em muitos casos, quando a perda do osso é severa, elas podem não ter uma boa fixação, o que prejudica a mastigação e pior, a sensação de insegurança é quase insuportável.
Mas elas ainda são utilizadas ou por motivos financeiros, ou problemas de saúde que impeçam cirurgias.

Também existem casos de perda parcial dos dentes, em que só existia a possibilidade de utilização de próteses parciais removíveis (chamadas pontes) , as quais possuem “grampos” metálicos, que estéticamente são muito desagradáveis , e por se apoiarem sobre os dentes naturais, exercem uma carga que pode causar problemas nos mesmos.

Em casos de espaços desdentados menores, por exemplo, perda de um ou dois elementos, tendo de cada lado um dente, chegaram as próteses fixas. Solução muitíssimo melhor, porém é necessário desgastar os
elementos laterais.

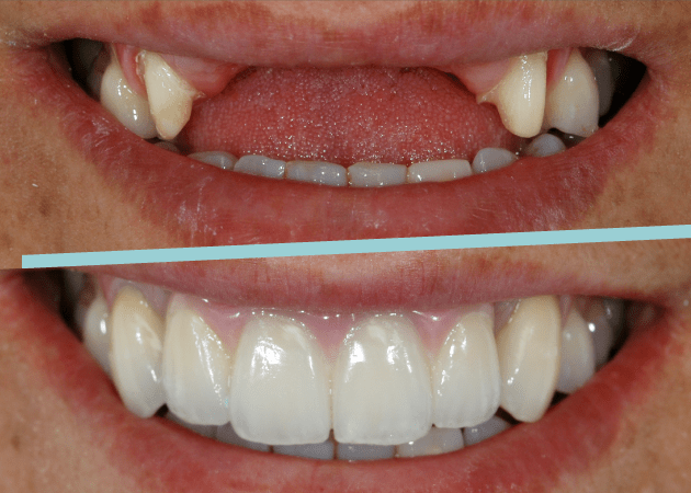
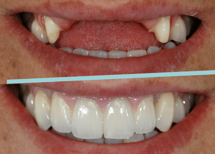
Com o advento dos implantes dentários, as possibilidades mudaram drasticamente!!!! Os implantes dentários são “pinos”de titânio que funcionam como raízes artificiais.

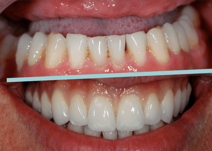
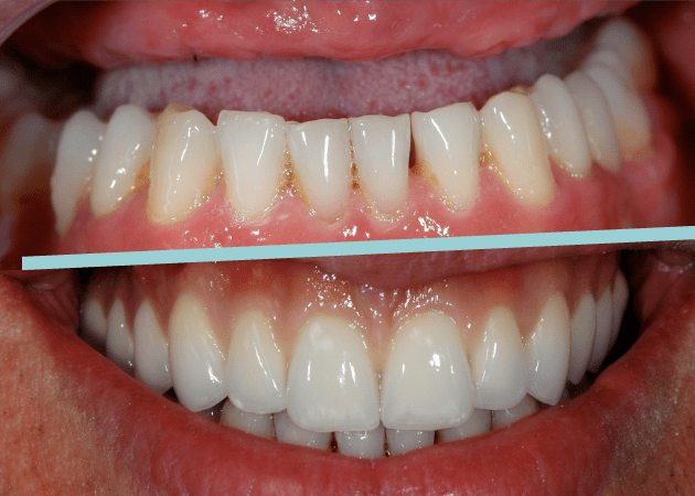
As próteses sobre-implantes podem serutilizadas para casos unitários e até para perdas múltiplas, como por exemplo, para asubstituição de dentaduras por uma prótese fixa (chamadas protocolo). As próteses sobreimplante são confeccionadas em laboratório protéticos e quando prontas são aparafusadas ou cimentadas sobre os implantes.
São totalmente fixas, dando segurança e qualidade na mastigação, além de ter estética superior.

conquiste o seu
sorriso. agende uma consulta.

Entraremos em contato para validar o agendamento.