Contato

Atendimento

SEGUNDA A SEXTA-FEIRA das 8:30 ÀS 18H


Restaurações em resina

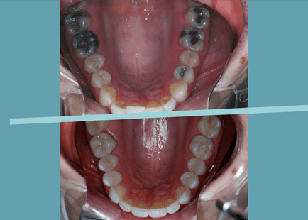
A restauração dental, ou dentística restauradora, é a área da odontologia que atua na restauração de danos causados por cáries ou traumas.

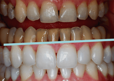
Nela, busca-se preservar o máximo de tecido dental e devolver a sua anatomia. Por isso, elas são realizadas com resinas compostas que possuem uma gama de cores capazes de imitar as características dentárias de forma que a restauração se torna imperceptível.

As resinas são um composto orgânico derivado do petróleo, que após a inserção na cavidade dental, são ativadas por uma fonte de luz (normalmente LED), a qual polimeriza e a passa para o estado sólido.

Elas podem ser utilizadas em dentes anteriores, posteriores , em cavidades de pequeno a médio porte. Em grandes reconstruções o ideal é a utilização de uma restauração em porcelana. 

É possível substituir as antigas e obsoletas restaurações em amálgama metálicas pelas resinas compostas, entre os benefícios estão: são mais bonitas; ajudam a prevenir fraturas dentárias (pois possuem um sistema de união aos tecidos dentários); diminuem o risco de infiltrações nas restaurações; aceitam reparos; são cada vez mais duráveis.

conquiste o seu
sorriso. agende uma consulta.

Entraremos em contato para validar o agendamento.